New book out by my colleagues at Doctors for COVID Ethics. Info you can trust. Free download!
Read. Share. Create the future you want.
We are pleased to announce that the first D4CE book, "mRNA Vaccine Toxicity," is now available for download and purchase.
Free download at https://doctors4covidethics.org/mrna-vaccine-toxicity/.
You can also purchase the printed copy from Lulu.com at https://www.lulu.com/shop/david-rasnick-and-brian-hooker-and-margot-desbois-and-sucharit-bhakdi/mrna-vaccine-toxicity/paperback/product-6n68j9.html.
This book is a collective effort of the D4CE group to provide unbiased and factual information and analysis regarding mRNA vaccines. Chapter 2 briefly introduces virology and immunology relevant to the mRNA vaccine technology; Chapter 3 focuses on the immunological mechanism of harm caused by the mRNA vaccine. Members of D4CE have posted several videos on this topic.
Selected videos on the basics of COVID science, immunology, and mRNA technology.
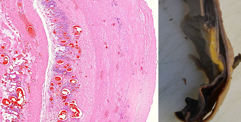
Chapter 4 provides the histopathological evidence of mRNA vaccine damage to individuals. Chapter 7 deals with the epidemiology of COVID mRNA vaccine adverse events.
Selected videos on the damages of the COVID mRNA vaccine.
Chapter 5 discusses how our body reacts to the mRNA vaccines after administration, the distribution and elimination of lipid nanoparticles and foreign mRNAs, and lipid nanoparticle toxicity. Watch Michael Palmer's presentation:
Update on mRNA/LNP vaccine distribution, persistence, and expression.
Chapter 6 presents the three pathways along which mRNA vaccines following the injection can lead to toxic damage to our genes (genotoxicity):
The unnatural cationic lipids in the mRNA vaccine package can trigger our body to produce the reactive oxygen species, which may react with DNA.
The foreign mRNA may undergo reverse transcription into DNA, then insert into the chromosomal DNA.
DNA contaminants in the COVID mRNA vaccines may also insert into the chromosomal DNA.
Such chromosomal insertions poses the risk of prolonged spike protein expression and inflammation, but it can also lead to malignant disease (cancer and leukemia).
Michael Palmer, MD, discussed the three pathways in the following video.
Alternate mechanisms of mRNA vaccine toxicity: which one is the main culprit?
Chapter 8, by Dr. David Rasnick, documents the US government's responses to HIV/AIDS, the scientific inquiry into HIV/AIDS, and the abuse inflicted upon Professor Peter Duesberg, who had the courage to question the official HIV/AIDS narratives. Chapter 8 also provides an overview of AIDS in Africa.
From AIDS To COVID-19, From 1984 To 2022
Nothing is new under the sun, as Dr. David Rasnick concluded in Chapter 8,
"The COVID-19 fraud is the AIDS scam writ large. There is wholesale silencing of any and all critics, regardless of stature. Families and friendships are splitting apart over questioning government dogma on COVID-19."
Thank you for reading. We are encouraged to report that more and more people have started to realize the harm due to COVID mRNA vaccines. However, it is vitally important to inform the public of the inherent danger of mRNA vaccine technology since clinical trials for vaccines against other viruses are now in progress. We encourage you to share the book and newletter in your networks, as it is up to all of us to keep information flowing in these times of heavy censorship.
Sincerely
Doctors For Covid Ethics








Thanks, Meryl and all involved in the book for this, will promote and pass on.
I especially agree with David about AIDS and Duesberg who is one of the few true scientist heroes who was not afraid to stand alone in the 80s when it was exceedingly rare (RIP, Thomas Szasz).
INFORMED DISSENT “Disobedience is the true foundation of liberty. The obedient must be slaves.” Henry David Thoreau
Get free, stay safe.
Thank You for the announcement of this free and reliable resource, Warror-Sister.
I will share this news.